Accelerating the Path to Alzheimer's Prevention

The USC Epstein Family Alzheimer’s Therapeutic Research Institute is leading groundbreaking clinical trials to find treatments and prevent Alzheimer’s disease.
Years of Research
0 +
Clinical Trials
0 +
Research Sites
75 +
Participants Enrolled
2490 +
Patients Screened for Trials
14990 +

Paul Aisen, MD

Founding Director

Learn About the Rigorous Science Behind Our Trials and Why It Differentiates Us.

“Our focus is uncompromising trials and unprecedented global collaboration with both academia and industry. We want solutions where early detection can be simple, affordable and accessible.”

For more than a decade, ATRI has pioneered the most rigorous approach to Alzheimer’s clinical trials. Under Dr. Aisen’s leadership, the institute has built an unmatched infrastructure for designing and executing large-scale multicenter trials that are advancing the field toward prevention.

Dr. Aisen’s scientific philosophy centers on precision, collaboration, and the belief that Alzheimer’s disease can be prevented through early intervention and innovative trial design.

OUR MISSION AND VISION

TO PREVENT AND EFFECTIVELY TREAT ALZHEIMER’S DISEASE

1906

Today

1900-1970

First Discovery

1906

Dr. Alois Alzheimer first diagnosis

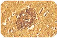
Alzheimer’s Disease got the name from Dr. Alois Alzheimer. He first noticed changes in the brain tissue of a woman who had died of an unusual mental illness. Her symptoms included memory loss, language problems, and unpredictable behavior. After she died, he examined her brain and found many abnormal clumps (now called amyloid plaques) and tangled bundles of fibers (now called neurofibrillary, or tau, tangles).

Amyloid plaques
Neurofibrillary, or tau, tangles

Alzheimer’s Disease got the name from Dr. Alois Alzheimer. He first noticed changes in the brain tissue of a woman who had died of an unusual mental illness. Her symptoms included memory loss, language problems, and unpredictable behavior. After she died, he examined her brain and found many abnormal clumps (now called amyloid plaques) and tangled bundles of fibers (now called neurofibrillary, or tau, tangles).

1906-1970

AD Assumed as Untreatable Degenerative Disease

1974-1986

Emerging Research

1974

Founding of National Institute on Aging (NIA)

The National Institute on Aging (NIA) is established as one of our National Institutes of Health (NIH). The NIA is our primary federal agency supporting Alzheimer’s research.
 

1976

“The Prevalance and Malignancy of Alzheimer’s Disease” In Journal Archives of Neurology

In the 10 years preceding his editorial, which called Alzheimer’s a “major killer” and the fourth leading cause of death in the United States (after heart disease, cancer and stroke), fewer than 150 scientific articles had been published about the disease.

Late 1970's

Cholinergic Hypothesis Suggests Treatment Possibilities

1984

Beta-Amyloid Identified as Prime Suspect in Triggering Nerve Cell Damage

BETA-AMYLOID, THE CHIEF COMPONENT OF ALZHEIMER’S BRAIN PLAQUES AND A PRIME SUSPECT IN TRIGGERING NERVE CELL DAMAGE, IS IDENTIFIED BY SAN DIEGO RESEARCHER GEORGE GLENNER.

1986

Tau Protein Identified a Key component of Tangles

This is the second pathological hallmark of Alzheimer’s disease and another prime suspect in nerve cell degeneration.
 

1987-1994

Steps Toward Treatment

1987

First Encouraging Alzheimer’s Drug Trial

Tacrine – boosts acetylcholine in the brain by interfering with acetylcholine breakdown.

1991

Alzheimer’s Disease Cooperative Study (ADCS) Launched

Funded by NIA and led by Leon Thal.

1993

First Drug Approved

Tacrine is approved; three similar drugs follow.

1994

Former U.S. President Ronald Reagan Alzheimer’s Diagnosis is Announced

We're the USC Epstein Family Alzheimer's Therapeutic Research Institute

For the past decade we’ve been on a path to solve the problem of Alzheimer’s Disease (AD). We have a roadmap for our research; built on amyloid treatments, add tau treatments and an array of persistent clinical studies all with one goal in mind — prevention.

Based in San Diego, California with research shared worldwide.

The Alzheimer's Clinical Trials Consortium

ATRI is the nexus for groundbreaking clinical trials. Led by USC, Harvard and The Mayo Clinic, our specialty is designing and conducting intervention research. We foster collaboration and drive innovation globally for Alzheimer’s Disease research.

Our Research + Laboratory Leaders

Paul Aisen,

Paul Aisen,

Founding Director of the Alzheimer’s Therapeutic Research Institut

Alison Belsha

Alison Belsha

Director of Clinical Operations

Gustavo Jimenez-Maggiora, PhD, MBA

Gustavo Jimenez-Maggiora, PhD, MBA

Director of Informatics, Assistant Professor of Research Neurology

Cecily Jenkins, PhD

Cecily Jenkins, PhD

Director of Neuropsychology and Associate Professor of Clinical Neurology

Jeremy Pizzola

Jeremy Pizzola

Director of Administration

Michael Rafii, MD, PhD

Michael Rafii, MD, PhD

Director of Medical Safety and Professor of Neurology

Rema Raman, PhD

Rema Raman, PhD

Director of Biostatistics, Recruitment, Engagement & Retention, Professor of Neurology

Robert Rissman, PhD

Robert Rissman, PhD

Director of Neuroscience Translational Research Division, Biomarker Lab and Biorepository

Education

Impact AD

Educational initiative providing healthcare professionals with the latest evidence-based information on Alzheimer’s disease diagnosis and management.

Continuing Education

Professional development resources and training programs for researchers and clinicians in the field of Alzheimer’s and dementia.

Student Summer Research Program

Hands-on research experience for the next generation of Alzheimer’s researchers. Open to undergraduate and graduate students.